Здоровье

Ростовские медики удалили из носа пациентки опухоль размером с киндер-сюрприз

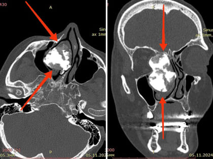
Ростовские медики удалили из носа пациентки опухоль размером с киндер-сюрприз

Фото: телеграм-канал министерства здравоохранения Ростовской области © Ростовская область, 20 января 2025.

В Неклиновском районе ввели ЧС из-за птичьего гриппа

В Неклиновском районе ввели ЧС из-за птичьего гриппа

В Неклиновском районе зафиксировали птичий грипп В Неклиновском районе зафиксировали птичий грипп Фото: Михаил ФРОЛОВ.

Назальные капли от опухоли не помогли

Назальные капли от опухоли не помогли

ЛОР-врачи Ростовской областной клинической больницы удалили из полости носа опухоль размером с киндер-сюрприз.

В Ростове врачи спасли близняшек весом 700 и 800 граммов

В Ростове врачи спасли близняшек весом 700 и 800 граммов

В Перинатальном центре Ростовской области медики спасли жизнь беременной монохориальной моноамниотической двойней и выходили новорожденных с экстремально низкой массой тела.

Территориям Ростовской области угрожает опасный грипп

Территориям Ростовской области угрожает опасный грипп

Восьми районам Ростовской области угрожает птичий грипп В Ростовской области возросло количество территорий, которым угрожает птичий грипп.

Опухоль мозга, паразит и рак кожи: как выглядят опасные болезни — удивительные снимки, сделанные под микроскопом

Опухоль мозга, паразит и рак кожи: как выглядят опасные болезни — удивительные снимки, сделанные под микроскопом

Врачи показали, как выглядят опасные болезни под микроскопом Болезни пациент видит только на бумаге, когда читает диагноз или слышит его от врача.А вот у патологоанатомов есть возможность заболевания именно увидеть,

Посмотрите на свою походку: врачи назвали 11 болезней, которые выдает ваш стиль ходьбы

Посмотрите на свою походку: врачи назвали 11 болезней, которые выдает ваш стиль ходьбы

Опытный доктор может определить возраст и заболевание, только взглянув на человека Наша походка — это не просто способ ходить, а что-то вроде уникального «почерка», который может многое о нас рассказать.

Легкий способ понять, что у вас панкреатит: какие признаки кричат о проблеме

Легкий способ понять, что у вас панкреатит: какие признаки кричат о проблеме

Гастроэнтеролог рассказала, на что вы зря не обращаете внимания Так тяжело себе бывает отказать в маленьких радостях, даже если знаешь, что они приведут к тяжелым последствиям.

Хочешь похудеть — ешь, а слабительное не поможет — инструкция от диетолога, если вдруг стали малы джинсы

Хочешь похудеть — ешь, а слабительное не поможет — инструкция от диетолога, если вдруг стали малы джинсы

Врачи рассказали, как правильно постройнеть Новый год — праздник живота.

«Господи, как хорошо, что это вообще такое?» — преподаватель йоги о том, что такое оргазмотерапия и зачем она нужна

«Господи, как хорошо, что это вообще такое?» — преподаватель йоги о том, что такое оргазмотерапия и зачем она нужна

Необычные занятия только набирают популярность в России Все больше людей интересуется эзотерикой и духовными практиками.